Oggi vi vogliamo raccontare il caso di Giulia, un nostra paziente che, grazie all’implantologia, ha potuto sentirsi nuovamente sicuro di sé attraverso l’intervento di poche ore!

L’innovazione tecnologica ha portato a svolte incredibili nel campo dell’odontoiatria, e l’implantologia a carico immediato rappresenta una di queste. Questo approccio permette di ottenere denti fissi in sole 24 ore, trasformando completamente il sorriso e la qualità della vita dei pazienti in pochissimo tempo. Lo Studio Sabiu è all’avanguardia in questo settore, offrendo soluzioni di alta specializzazione e un’attenzione particolare al benessere del paziente.

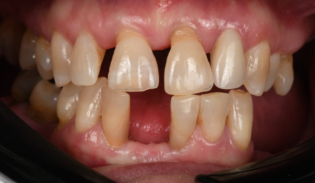
Il Caso di Giulia: Prima e Dopo

Giulia, 61 anni, è una donna affascinante con un lavoro a stretto contatto con il pubblico. Tuttavia, negli ultimi anni, ha vissuto un declino del suo sorriso a causa di una severa parodontite. La malattia ha portato alla migrazione dei denti, creando spazi tra di essi e rendendoli più lunghi, influenzando negativamente l’aspetto del suo sorriso, un elemento che Giulia amava mostrare con orgoglio.

Inizialmente, Giulia ha sottovalutato il problema e non si è recata immediatamente dal dentista, peggiorando così la situazione. Alla fine, ha deciso di chiedere aiuto allo Studio Sabiu. Durante il consulto, la Dott.ssa Barbara Sabiu ha evidenziato la gravità della condizione di Giulia: numerosi ascessi e una significativa perdita d’osso che sosteneva i denti.

 

il caso di Giulia e del suo nuovo sorriso grazie all'implantologia a carico immediato.

Un nuovo sorriso in 24 ore

La Soluzione: Implantologia a Carico Immediato

La Dott.ssa Sabiu ha proposto a Giulia un piano di cura basato sull’implantologia a carico immediato. In una sola giornata, grazie a questa tecnica avanzata, Giulia ha riacquistato un sorriso splendente e funzionale.

La trasformazione è stata straordinaria: dalle difficoltà causate dai denti compromessi alla gioia di un nuovo sorriso in sole 24 ore. Giulia non solo ha ritrovato la sua fiducia, ma anche il piacere di sorridere liberamente.

L’Alta Specializzazione dello Studio Sabiu

Lo Studio Sabiu è rinomato per la sua alta specializzazione nei trattamenti di implantologia a carico immediato. La Dott.ssa Barbara Sabiu e il suo team di esperti utilizzano le tecnologie più avanzate e tecniche all’avanguardia per garantire risultati eccellenti e duraturi. Ogni paziente è seguito con attenzione e professionalità, assicurando un’esperienza confortevole e rassicurante.

Il nostro invito a Sorridere

Se anche tu, come Giulia, desideri ritrovare il tuo sorriso e migliorare la tua qualità di vita, contatta lo Studio Sabiu per un consulto personalizzato. Scopri come l’implantologia a carico immediato può trasformare il tuo sorriso in sole 24 ore.

 

Chiama oggi stesso allo Studio Sabiu e prenota la tua visita!

Non aspettare, il tuo nuovo sorriso ti aspetta!

Se anche tu desideri ritrovare il sorriso e affrontare una nuova fase della tua vita, prenota ora la tua visita presso lo studio Sabiu. La dottoressa e il suo team saranno lieti di accoglierti e guidarti verso il percorso della rinascita del tuo sorriso. Non aspettare, prendi il primo passo verso un nuovo sorriso!